Cùng tìm hiểu nguyên nhân tác hại nguyên nhân sâu răng và cách phòng ngừa

Cùng tìm hiểu nguyên nhân tác hại nguyên nhân sâu răng và cách phòng ngừa

Sâu răng là một trong những bệnh lý về răng miệng phổ biến ở mọi lứa tuổi, đặc biệt là trẻ em. Tổ chức Y tế Thế giới (WHO) khảo sát sức khỏe răng miệng ở trẻ em Việt Nam vào năm 2019, ghi nhận tỷ lệ 46,5% nhóm 1-9 tuổi bị sâu răng sữa, 28% nhóm trên 5 tuổi bị sâu răng vĩnh viễn.

Nguyên nhân

– Chế độ ăn uống nhiều chất béo, đường và tinh bột trong món ăn vặt, kết hợp thiếu vệ sinh răng miệng thường xuyên đồng thời tạo điều kiện cho vi khuẩn, acid và mảng bám thức ăn phát triển, gây ra sự ăn mòn men răng, tạo nên lỗ sâu răng.

– Sử dụng bàn chải cứng với lực mạnh, cách vệ sinh răng không đúng kỹ thuật có thể gây mòn răng và làm bộc lộ ngà chân răng, gây sâu răng.

– Khi răng mới bắt đầu sâu, không chủ động điều trị sớm có thể khiến tình trạng trở nên nghiêm trọng hơn.

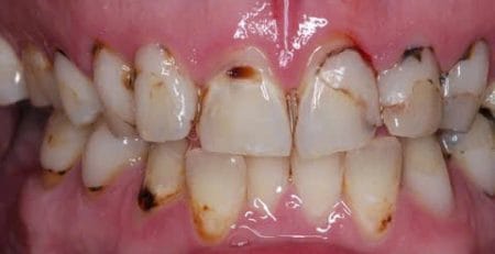
Dấu hiệu thường gặp

  • Xuất hiện những đốm đen trên bề mặt răng.
  • Những cơn đau buốt xuất hiện mỗi khi ăn uống, có thể kèm theo đau đầu.
  • Nướu răng sưng và chảy máu, kèm theo hơi thở có mùi hôi.

Tác hại

  • Ảnh hưởng đến đời sống hằng ngày (ăn uống, giấc ngủ) và tinh thần học tập.
  • Ảnh hưởng đến tính thẩm mỹ.
  • Dẫn đến những vấn đề sức khỏe khác (viêm hạch, viêm tủy xương, viêm mô tế bào, viêm xoang hàm…).

Phòng ngừa

Để phòng ngừa sâu răng, người lớn lẫn trẻ nhỏ nên:

  • Hạn chế ăn vặt thường xuyên, đặc biệt là thức ăn có nhiều chất béo, đường và tinh bột.
  • Ăn thực phẩm giàu canxi và vitamin tốt cho răng như sữa chua, phô mai, táo, cà rốt, trứng, cá…
  • Đánh răng bằng kem đánh răng có fluoride.
  • Đánh răng ít nhất hai lần một ngày, lý tưởng nhất là sau mỗi bữa ăn.
  • Đánh răng đúng kỹ thuật và sử dụng lực vừa phải, tránh tổn thương cổ và chân răng.
  • Sử dụng chỉ nha khoa hay tăm nước để làm sạch giữa kẽ răng.
  • Khám răng định kỳ 6 tháng một lần để phát hiện sớm và điều trị kịp thời các bệnh lý răng miệng.

theo nguồn: Báo VnExpres.net

Sâu răng: nguyên nhân, biểu hiện, cách xử lý, điều trị và phòng ngừa

Share this post