Hệ lụy nguy hiểm nước ngọt và kẹo không đường vẫn có thể làm hỏng răng
Cắt giảm đường là một lựa chọn lành mạnh đối với sức khỏe răng miệng nhưng chưa đủ. Thay vào đó, bạn cần hạn chế thêm nước ngọt và kẹo không đường chứa các thành phần axit, vì chúng có thể khiến lớp men răng mòn, lâu dần gây sâu răng.
1.Nước ngọt và kẹo không đường có gây hại cho răng?
Nước ngọt không đường và kẹo không đường đã được nhiều nghiên cứu là gây hại cho răng, nguyên nhân là do trong thành phần của chúng chứa chất phụ gia có tính axit và độ pH thấp gây mòn men răng.
Cụ thể, trong các loại nước ngọt không đường và kẹo không đường có chứa axit photphoric, axit xitric và axit tartaric với nồng độ tương tự trong nước ngọt thông thường. Chúng là những tác nhân gây suy yếu men răng, lâu dần có thể gây sâu răng nếu không hạn chế.
Mặc dù đường là tác nhân gây mòn men răng dẫn đến sâu răng thường được biết đến nhiều nhất, nhưng sự kết hợp của các axit trong một số loại nước ngọt không đường và kẹo không đường cũng là tác nhân đáng kể gây ra tình trạng xói mòn răng.
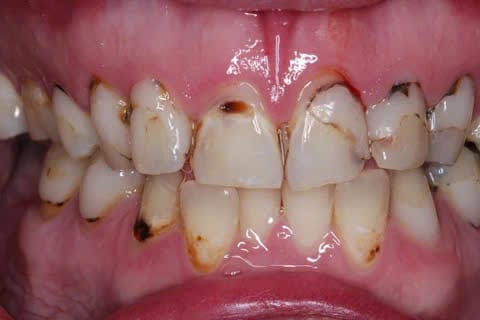
Xói mòn răng là hiện tượng lớp mô cứng của răng bị bào mòn do bị axit hòa tan. Ở giai đoạn đầu, sự xói mòn xảy ra ở lớp men răng, tiến triển càng nặng thì độ bào mòn càng sâu. Nước ngọt và kẹo không đường là tác nhân gây mòn tới 30 – 50% tổng lượng men răng.
2. Chọn đồ uống gì để không bị sâu răng?

Trước khi mua các loại nước ngọt không đường và kẹo không đường, bạn cần đọc kỹ nhãn để
tìm các chất phụ gia có tính axit, đặc biệt là axit xitric và axit photphoric. Bạn cũng nên uống nhiều nước, đặc biệt là nước có chứa fluor và hạn chế các loại nước ngọt, kẹo, kể cả không đường.
Nhai kẹo cao su có chứa xylitol cũng có tác dụng tốt cho răng miệng vì kích thích tăng tiết nước bọt, rửa sạch axit và vi khuẩn trong miệng.
3. Uống nước ngọt làm sao để không bị sâu răng?
Sau khi ăn/uống các loại thực phẩm và đồ uống có tính axit thì nên súc miệng bằng nước và đợi 1 giờ trước khi đánh răng vì phải mất 30 phút đến 1 giờ để nước bọt trong miệng trở lại độ pH trung tính, việc đánh răng trước thời điểm này có thể làm lan các axit, gây mất men răng diện rộng.
Thời điểm tốt nhất để uống đồ uống không đường là trong bữa ăn, ngược lại nhấm nháp liên tục trong ngày có nguy cơ gây hại cao nhất đến men răng. Ngoài ra, uống bằng ống hút có thể giúp giảm thiểu axit tiếp xúc với răng.
Sau bữa ăn hoặc đồ uống có tính axit, hãy súc miệng bằng nước, uống sữa hoặc thưởng thức một chút pho mát. Sữa và các loại thực phẩm giàu canxi khác có thể giúp trung hòa axit. Bạn cũng nên hạn chế ăn vặt giữa các bữa ăn để nước bọt có thời gian cân bằng lại độ pH.
Nguồn tham khảo: healthcare.utah.edu, colgate.com, webmd.com